柏市 酒井根 北浦歯科医院がリニューアルオープン! きたうら歯科クリニック 歯科・予防歯科・インプラント

tel:0471732721
院長ブログ
2018.03.18
歯の漂白

こんにちは きたうら歯科クリニック院長の北浦です。

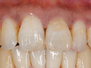
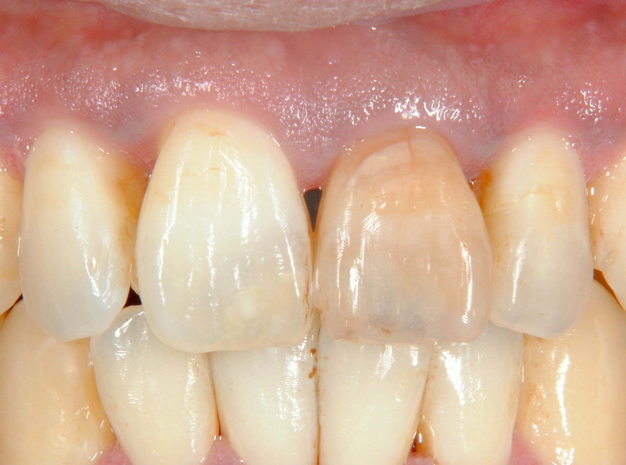
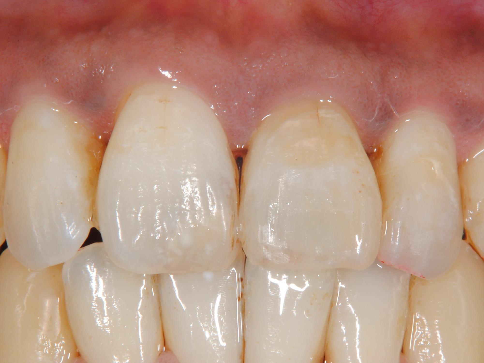
歯には生活歯(有髄歯)いって神経が生きている歯と失活歯(無髄歯)といって神経が死んでしまっていたり、根管治療をされている歯があります。

外傷などで神経が死んでしまっても歯冠が問題なければ根幹治療後、被せ物などにせずレジンで修復することもあります。

暫くすると歯の色が変色(茶色く)なってくる場合もあり、見た目的にも悪くなってきます。治療のオプションとして歯の漂白があります、歯の中に漂白剤を入れ蓋をし数日間待ちます、それを何回か繰り返すと歯が白くなり、目立ちにくくすることができます。すべての歯に適応ではありませんが気になる方はご相談ください。治療は保険外になります。
DSC_0689DSC_0717

« 一覧へ戻る

ページの先頭へ戻る