
こんにちは きたうら歯科クリニック院長の北浦です。
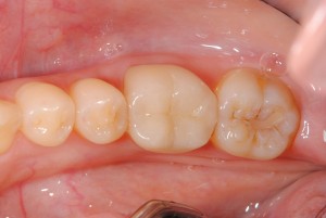
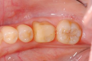
奥歯の治療では残念ながら保険治療では銀歯になってしまいます。やはり少し目立ってしまいます。自費診療としてジルコニア、オールジルコニア、メタルボンドセラミック、e-maxなど種類があります。セラミックの利点は審美と清掃のしやすさにあります!!長期的にみれば、それは虫歯や歯周病になりにくいと言う事です。噛み合わせなどによっては材料が限られる事もありますのでご相談ください。
ステイン(着色)などをわざと付与しより自然にする事もできます。
COPYRIGHT KITAURA DENTAL CLINIC ALL RIGHTS RESERVED.