柏市 酒井根 北浦歯科医院がリニューアルオープン! きたうら歯科クリニック 歯科・予防歯科・インプラント

tel:0471732721
院長ブログ
2015.07.04
前歯審美症例②

こんにちは、きたうら歯科クリニック院長の北浦です。

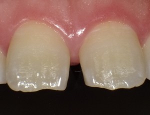
前歯の正中離開が気になるとの事でした、今回はコンポジットレジンにて修復を行いました、切削量も少なく修正ができました。

経年的に着色しますが、やりかえも容易ですし、研磨で対応できる場合もあります。

 

SHOFU DENTAL DIGITAL CAMERASHOFU DENTAL DIGITAL CAMERA

« 一覧へ戻る

ページの先頭へ戻る