
こんにちは、きたうら歯科クリニック院長の北浦です。
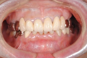
この患者様は前歯の脱落と義歯で噛めないとの主訴で来院されました、奥歯の噛み合わせの低さから、前歯に負担がかかり脱落の原因となっていました。義歯は入れても噛めないので何とかしてほしいとのことでした。(左側残根上義歯)
レントゲンにて残っている歯根の状態は悪くなかったので、義歯から脱却すべく治療を開始しました。根管治療、歯周病治療、骨整形、仮歯による咬合再構築などをへて上顎は義歯のない口腔内にすることができました。
治療期間はかかりますが、患者様にあった治療がありますのでご相談下さい。
治療前 初診時写真
治療終了後(保険治療)
COPYRIGHT KITAURA DENTAL CLINIC ALL RIGHTS RESERVED.