
こんにちは きたうら歯科クリニック院長の北浦です。
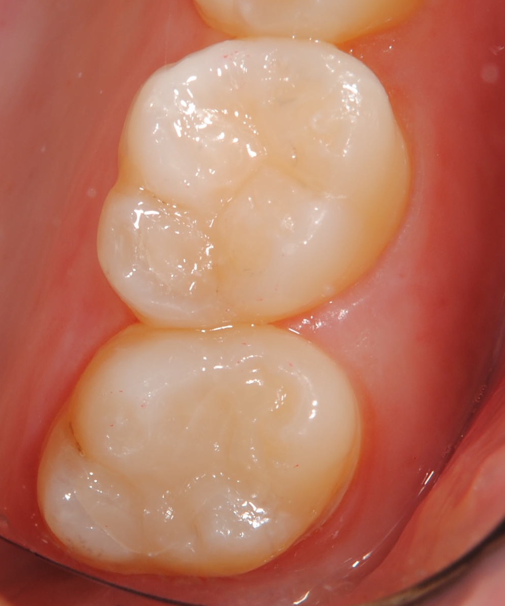
先日、従業員の口腔内診査を行った所、15年くらい前にセットした金属(インレー)と歯の境目に段差が生じていました。レントゲン診査では2次齲蝕の可能性がありましたが外してみて意外と虫歯が進行していて本人もびっくりしていました、虫歯を除去した後はコンポジットレジンで修復を行いました。
近年コンポジットレジンの材質が改良され噛み合わせの力がかかる部位への応用範囲が広がってきました。審美性、耐久性などセラミックには劣りますが、見た目もきれいですし(吸水性があるので長期使用で着色します)多くの場合1日で診療が終わります、噛み合わせや残存歯質の状態によっては適応できない場合もありますのでご相談下さい。治療は健康保険の適応内です。
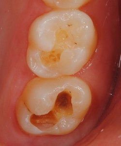
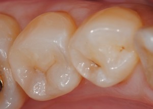
他の症例①
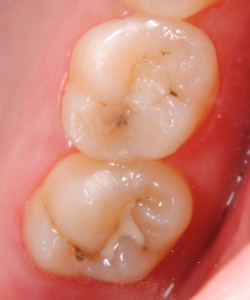
症例②
COPYRIGHT KITAURA DENTAL CLINIC ALL RIGHTS RESERVED.